Scientists discover pathway that activates brown fat
Study reveals that brown fat cells, which are linked to weight loss, communicate to expand nerve and blood vessel networks, boosting heat generation
Researchers have determined how a key protein activates brown fat by expanding blood vessels and nerves in the heat-generating tissue.
The findings, published in Nature Communications, point to a potential strategy for treating obesity that deviates from the current approach of suppressing appetite.
Most of the fat in our bodies is white fat, which stores excess energy and, at too high of levels, can lead to obesity. Humans and other mammals also have a smaller amount of brown fat, a specialized tissue that regulates body temperature and is closely linked to weight loss and metabolic health. When activated by exposure to cold, brown fat uses the body’s resources like glucose and lipids to generate heat, a process called thermogenesis.
“During thermogenesis, all of that chemical energy is dissipated as heat instead of being stored in the body as white fat,” said Farnaz Shamsi, assistant professor of molecular pathobiology at NYU College of Dentistry and the study’s senior author. “By rapidly taking up and using fuel sources from our bodies and the food that we eat, brown fat acts like a metabolic sink that draws in nutrients and prevents them from being stored.”
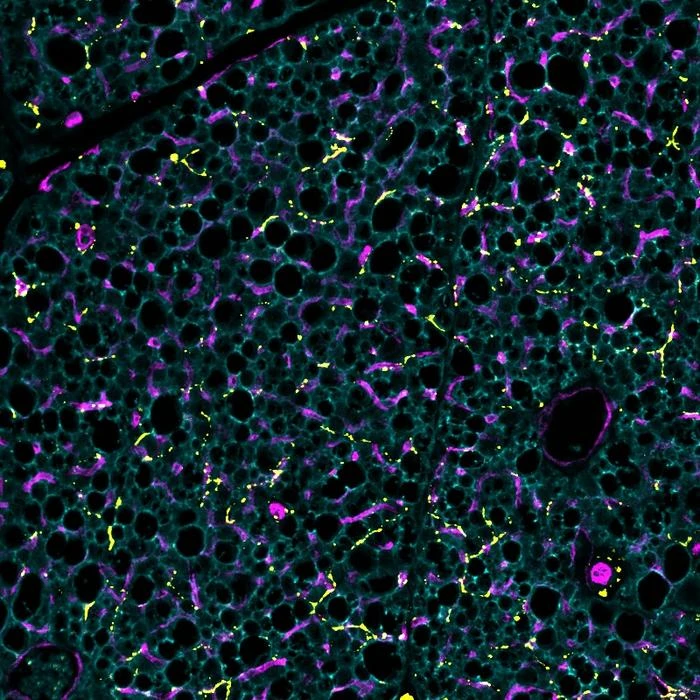
Brown fat has intricate, dense networks of nerves and blood vessels that are critical for its functioning. Nerves enable brown fat to communicate with the brain; when the brain senses cold, it rapidly signals to activate brown fat. Blood vessels supply brown fat with oxygen and nutrients to generate heat, and then distribute this heat throughout the body. While research on brown fat has largely focused on stimulating fat cells to generate heat, less is known about how these underlying networks function.
Shamsi’s lab previously used single-cell RNA sequencing to identify SLIT3, a protein secreted by brown fat cells, which they thought may play a role in how fat cells communicate. When produced, SLIT3 gets cleaved into two different fragments.
In the Nature Communications study, using a combination of approaches in human and mouse cells, the researchers discovered the enzyme, BMP1, that is responsible for cleaving SLIT3 into two. They also determined that the two SLIT3 fragments control different processes: one grows the network of blood vessels, while the other expands the network of nerves.
“It works as a split signal, which is an elegant evolutionary design in which two components of a single factor independently regulate distinct processes that must be tightly coordinated in space and time,” noted Shamsi.
In addition, the researchers identified the receptor, PLXNA1, that binds to one of the SLIT3 fragments to control brown fat’s network of nerves. In studies in mice—which typically have very active brown fat and can tolerate cold temperatures for long periods of time—removing SLIT3 or the PLXNA1 receptor from brown fat resulted in mice becoming sensitive to cold and having difficulty maintaining their body temperatures. A closer look at brown fat tissue missing SLIT3 or its receptor revealed that it lacks the proper nerve structure and density of blood vessels.
To see if their findings translate to humans, the researchers examined samples of fat tissue from more than 1,5000 people, some of whom had obesity. Focusing on the gene that produces SLIT3, which prior studies show is associated with obesity and insulin resistance, they found that SLIT3 gene expression may regulate fat tissue health, inflammation, and insulin sensitivity in people with obesity.
“That really got our attention, as it suggests that this pathway could be relevant in human obesity and metabolic health,” said Shamsi.
While most weight loss drugs—including GLP-1s—suppress appetite, decreasing the amount of food people eat and therefore the amount of energy stored, treatments that involve brown fat have the potential to increase energy expenditure. This new understanding of what's happening inside brown fat—including how SLIT3 splits into two and binds to receptors to control nerves and blood vessels—highlights several processes that could potentially be harnessed for their therapeutic potential.
“Our research shows that just having brown fat isn’t enough—you need the right infrastructure within the tissue for heat production,” said Shamsi.
Additional study authors include Tamires Duarte Afonso Serdan, Heidi Cervantes, Benjamin Frank, Akhil Gargey Iragavarapu, Qiyu Tian, Daniel Hope, and Halil Aydin of NYU College of Dentistry; Chan Hee Choi and Paul Cohen of Rockefeller University; Anne Hoffmann and Matthias Blüher of the University of Leipzig; Adhideb Ghosh and Christian Wolfrum of ETH Zurich; Matthew Greenblatt of Weill Cornell Medical College; and Gary Schwartz of Albert Einstein College of Medicine.
The research was supported in part by the National Institutes of Health (K01DK125608, R03DK135786, R01DK136724, RC2DK129961, R35GM150942), the G. Harold and Leila Y. Mathers Charitable Foundation, the American Heart Association (24CDA1271852), the Einstein-Mount Sinai Diabetes Center, the NYU Dentistry Department of Molecular Pathobiology, and the Boettcher Foundation.
END
The findings, published in Nature Communications, point to a potential strategy for treating obesity that deviates from the current approach of suppressing appetite.
Most of the fat in our bodies is white fat, which stores excess energy and, at too high of levels, can lead to obesity. Humans and other mammals also have a smaller amount of brown fat, a specialized tissue that regulates body temperature and is closely linked to weight loss and metabolic health. When activated by exposure to cold, brown fat uses the body’s resources like glucose and lipids to generate heat, a process called thermogenesis.
“During thermogenesis, all of that chemical energy is dissipated as heat instead of being stored in the body as white fat,” said Farnaz Shamsi, assistant professor of molecular pathobiology at NYU College of Dentistry and the study’s senior author. “By rapidly taking up and using fuel sources from our bodies and the food that we eat, brown fat acts like a metabolic sink that draws in nutrients and prevents them from being stored.”
Brown fat has intricate, dense networks of nerves and blood vessels that are critical for its functioning. Nerves enable brown fat to communicate with the brain; when the brain senses cold, it rapidly signals to activate brown fat. Blood vessels supply brown fat with oxygen and nutrients to generate heat, and then distribute this heat throughout the body. While research on brown fat has largely focused on stimulating fat cells to generate heat, less is known about how these underlying networks function.
Shamsi’s lab previously used single-cell RNA sequencing to identify SLIT3, a protein secreted by brown fat cells, which they thought may play a role in how fat cells communicate. When produced, SLIT3 gets cleaved into two different fragments.
In the Nature Communications study, using a combination of approaches in human and mouse cells, the researchers discovered the enzyme, BMP1, that is responsible for cleaving SLIT3 into two. They also determined that the two SLIT3 fragments control different processes: one grows the network of blood vessels, while the other expands the network of nerves.
“It works as a split signal, which is an elegant evolutionary design in which two components of a single factor independently regulate distinct processes that must be tightly coordinated in space and time,” noted Shamsi.
In addition, the researchers identified the receptor, PLXNA1, that binds to one of the SLIT3 fragments to control brown fat’s network of nerves. In studies in mice—which typically have very active brown fat and can tolerate cold temperatures for long periods of time—removing SLIT3 or the PLXNA1 receptor from brown fat resulted in mice becoming sensitive to cold and having difficulty maintaining their body temperatures. A closer look at brown fat tissue missing SLIT3 or its receptor revealed that it lacks the proper nerve structure and density of blood vessels.
To see if their findings translate to humans, the researchers examined samples of fat tissue from more than 1,5000 people, some of whom had obesity. Focusing on the gene that produces SLIT3, which prior studies show is associated with obesity and insulin resistance, they found that SLIT3 gene expression may regulate fat tissue health, inflammation, and insulin sensitivity in people with obesity.
“That really got our attention, as it suggests that this pathway could be relevant in human obesity and metabolic health,” said Shamsi.
While most weight loss drugs—including GLP-1s—suppress appetite, decreasing the amount of food people eat and therefore the amount of energy stored, treatments that involve brown fat have the potential to increase energy expenditure. This new understanding of what's happening inside brown fat—including how SLIT3 splits into two and binds to receptors to control nerves and blood vessels—highlights several processes that could potentially be harnessed for their therapeutic potential.
“Our research shows that just having brown fat isn’t enough—you need the right infrastructure within the tissue for heat production,” said Shamsi.
Additional study authors include Tamires Duarte Afonso Serdan, Heidi Cervantes, Benjamin Frank, Akhil Gargey Iragavarapu, Qiyu Tian, Daniel Hope, and Halil Aydin of NYU College of Dentistry; Chan Hee Choi and Paul Cohen of Rockefeller University; Anne Hoffmann and Matthias Blüher of the University of Leipzig; Adhideb Ghosh and Christian Wolfrum of ETH Zurich; Matthew Greenblatt of Weill Cornell Medical College; and Gary Schwartz of Albert Einstein College of Medicine.
The research was supported in part by the National Institutes of Health (K01DK125608, R03DK135786, R01DK136724, RC2DK129961, R35GM150942), the G. Harold and Leila Y. Mathers Charitable Foundation, the American Heart Association (24CDA1271852), the Einstein-Mount Sinai Diabetes Center, the NYU Dentistry Department of Molecular Pathobiology, and the Boettcher Foundation.
END


